| 肺がん検診 |
検査方法 |
予約 |
実施日及び時間 |
検診間隔 |
レントゲン撮影 |
無し |
毎日 診療時間内 |
年1回 |
ヘリカルCT |
有り |
●肺がん |
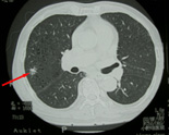
ヘリカルCTにより、3〜5mmの肺がんも発見しています。 肺がんは、CTでなければ、小さいがんは発見しにくいので、 特に、喫煙者には必ずCT検査を勧めます。 |
![]() |
|||
CTスキャン中 |
|||
![]() |
![]() |
||
![]() |
|||
| 肺がん検診 |
検査方法 |
予約 |
実施日及び時間 |
検診間隔 |
レントゲン撮影 |
無し |
毎日 診療時間内 |
年1回 |
ヘリカルCT |
有り |
●肺がん |
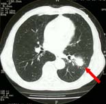
ヘリカルCTにより、3〜5mmの肺がんも発見しています。 肺がんは、CTでなければ、小さいがんは発見しにくいので、 特に、喫煙者には必ずCT検査を勧めます。 |
![]() |
|||
CTスキャン中 |
|||
![]() |
![]() |
||
![]() |
|||