| 膵臓がん検診 |
検査方法 |
予約 |
実施日及び時間 |
超音波検査 |
有り |
毎日 診療時間内 |
血液検査 |
無し |
|
ヘリカルCT |
有り |
●膵臓がん・胆のう、胆管がん |
腹部超音波、ヘリカルCTで、多数発見。 |
エコーで診察 |
|||
![]() |
|||
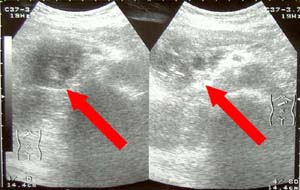
膵臓がん エコー画像 |
|||
![]() |
|||
ヘリカルCT連続画像 |
ヘリカルCT拡大画像 |
||
![]() |
![]() |
||
| 膵臓がん検診 |
検査方法 |
予約 |
実施日及び時間 |
超音波検査 |
有り |
毎日 診療時間内 |
血液検査 |
無し |
|
ヘリカルCT |
有り |
●膵臓がん・胆のう、胆管がん |
腹部超音波、ヘリカルCTで、多数発見。 |
エコーで診察 |
|||
![]() |
|||
膵臓がん エコー画像 |
|||
![]() |
|||
ヘリカルCT連続画像 |
ヘリカルCT拡大画像 |
||
![]() |
![]() |
||