| 肝臓がん検診 |
検査方法 |
予約 |
実施日及び時間 |
超音波検査 |
有り |
毎日 診療時間内 |
血液検査 |
無し |
|
ヘリカルCT |
有り |
●肝臓がん−−−肝臓専門外来 |
腹部超音波、ヘリカルCT |
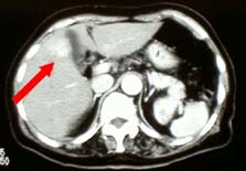
肝臓がん |
|
![]() |
![]() |
| 肝臓がん検診 |
検査方法 |
予約 |
実施日及び時間 |
超音波検査 |
有り |
毎日 診療時間内 |
血液検査 |
無し |
|
ヘリカルCT |
有り |
●肝臓がん−−−肝臓専門外来 |
腹部超音波、ヘリカルCT |
肝臓がん |
|
![]() |
![]() |